Ultra-portable X-ray lmaging Device
Beatle series is designed to offer maximum mobility and flexibility with a compact structure and lightweight. Thanks to 5.6 kW stable output, easy transportation and simple operation, the whole system is greatly suitable for mobile applications and outdoor radiography.
Transporting the system is made simple by the fact that it fits in a carrying case with the flat panel detector and all essential extras.
Maximum mobility brings maximum flexibility
The whole system is greatly suitable for a variety of application scenarios, for example, hospital, physical examination center, ambulance, outdoor, home, etc.
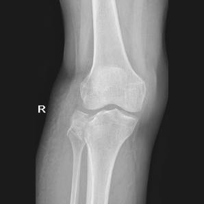
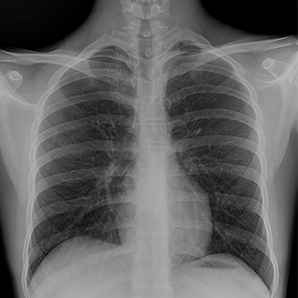
Fully digital workflow
ARP matches different exposure parameters of filming parts, The intelligent image post-processing software, image sending and printing, and other functions accelerate workflow, which improves diagnosis efficiency greatly and saves more time for medical staff.
						
8-inch touch screen
Equipped with multiple preset APRs, an 8-inch touch screen with an intuitive interface results in incredibly easy operation.
						
Wireless connection
Cable-free detector helps achieve various positioning in different clinical applications.
						
Two stand options
• Foldable stand is easy to disassemble and reassemble and easy access to outdoor radiography.
• Flexible stand has three leg-angle stops, the system can be set up nearly any surface.
SEND INQUIRY
We are ready to take part in global cooperation and competition in a larger scale and deeper extent.